Page 30 - 林口醫研部2023年3月電子報
P. 30

‣圖表
























































































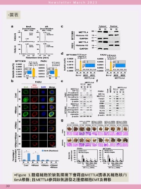
              •Figure 1.腫瘤細胞於缺氧環境下會藉由METTL4誘導其細胞核內

              6mA修飾;且METTL4參與缺氧誘發之腫瘤細胞EMT及轉移


      30
   25   26   27   28   29   30   31   32   33   34   35